Menu Principal:


Nueva terapia de Ondas de Choque
La terapia mediante ondas de choque es un tratamiento no invasivo y una de las terapias más efectivas para el tratamiento del dolor del sistema músculo-esquelético, mejorando la vida de millones de personas.
Nueva tecnología de vanguardia con efectos médicos probados (más del 80 % de efectividad en algunos tratamientos)
Rápido alivio del dolor
Restablecimiento de la movilidad
Sin anestesia ni drogas
Principales campos de aplicación: ortopedia, rehabilitación y medicina deportiva
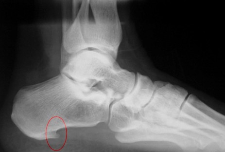
El Consultorio Médico Podológico Dr. Angee la aplica en el manejo de la Fascitis plantar (Espolón Calcáneo).